

A Estética do Sorriso
Reabilitação oral visando a estética do sorriso
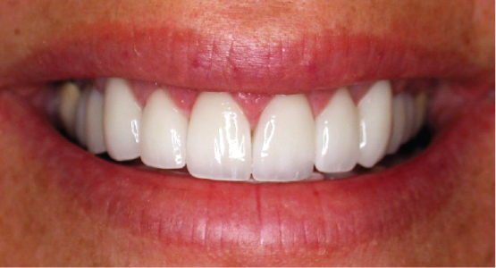
A estética do sorriso está inserida no contexto facial, onde linhas de referência, horizontais e verticais, são consideradas para a análise de simetria facial. O posicionamento dos dentes na boca deve respeitar parâmetros tridimensionais, considerando-se a gengiva e a mucosa delimitadas pelos lábios inferior e superior, como se fosse um quadro com tela e moldura. Esta análise deve ser feita em dinâmica durante o sorriso e a fala, e em estática, durante o repouso muscular, considerando-se a idade do paciente, se jovem, adulto ou idoso. Na estética do sorriso não se deve considerar apenas trabalhos isolados, tais como faceta, lente de contato, coroa de porcelana, restauração em resina ou clareamento dental.
No jovem, os dentes anteriores superiores aparecem mais, pois a musculatura tem mais tonicidade. No idoso, os mesmos dentes aparecem menos, por apresentar maior flacidez muscular. Por isso, quando se faz a reconstrução do sorriso, através de próteses ou restaurações estéticas, deve-se levar em conta essas características, para se obter uma aparência natural condizente com a idade.
Restaurações em resina
São restaurações utilizadas quando há pequena perda de estrutura dental.
Restaurações em porcelana
São restaurações confeccionadas em porcelana de alta resistência indicadas para preencher partes dos dentes destruídas por cáries ou fraturas. Atualmente, são usadas para substituir restaurações metálicas em dentes posteriores com perda estrutural.
Facetas ou laminados de porcelana
As facetas são trabalhos personalizados realizados em laboratório de prótese dental. São indicadas para dentes com manchas, com fraturas ou para pequenas correções de posicionamento em que não se deseja utilizar o recurso de aparelhos ortodônticos. O procedimento para a sua confecção consiste em planejar as correções que deverão ser feitas para a obtenção da pretendida anatomia dental. Para isso, é realizado um ensaio da futura forma dos dentes, em resina, que é provado na boca do paciente e, se ele ficar satisfeito com o resultado, é executado um desgaste na superfície vestibular do dente (parte frontal) de 0,3 a 1 mm de espessura. Após isso, esses dentes são moldados para a confecção das facetas, que depois são coladas aos dentes. Durante o período de confecção das facetas em laboratório, o paciente fica com provisórios de resina colados aos dentes. A vantagem é que esse tipo de trabalho pode, também, ser feito pelo sistema CAD/CAM.
Lentes de contato: facetas ultrafinas
São usadas para pequenas correções de mudança de forma dos dentes e, geralmente, não é necessário desgastá-los, o que é uma grande vantagem. São estruturas de porcelana com espessura que varia entre 0,3 a 0,5 mm, acrescentadas, através de colagem, à superfície externa dos dentes. São confeccionadas após o escaneamento do modelo de gesso ou diretamente na boca do paciente, utilizando o sistema CAD/CAM.
Coroas de porcelana pura
As coroas de porcelana pura são as mais indicadas para reconstrução dos dentes em caso de grandes perdas de estrutura dental. Elas envolvem todas as faces do dente e podem ser indicadas até mesmo para pacientes que rangem os dentes, desde que sejam orientados a fazer uso de placas de acrílico para relaxamento muscular.
Coroas de porcelana sobre infraestrutura de zircônia
Essas coroas são confeccionadas sobre uma estrutura de zircônia, que é um material estético com alta resistência flexural, o que possibilita a confecção de próteses fixas de grande extensão envolvendo vários dentes da arcada dentária, sem a presença de metal.
Clareamento dental a laser e doméstico
Atualmente, é usado em quase todos os tratamentos estéticos. Existem técnicas de uso doméstico e clínico (realizado no consultório), que podem utilizar o laser ou não, executadas na superfície externa ou interna do dente.
Cirurgia plástica gengival
É uma técnica cirúrgica que visa realizar correções de forma e posicionamento gengival em relação aos dentes e aos limites dos lábios durante o sorriso.
Cirurgia de recobrimento de raiz dental
É uma técnica cirúrgica onde o tecido gengival é utilizado para recobrir a raiz do dente que sofreu retração gengival. Isso pode ser obtido através de deslocamento do tecido gengival com ou sem enxerto.